矯正歯科 岡崎市かない矯正歯科医院

木曜・日曜・祝日休診 AM10:00~PM1:00 PM2:30~PM7:00 0564-25-0505

治療例 II期治療

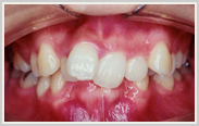
  上顎前突:上顎歯列が下顎歯列より前方にある。上顎前歯が出た状態。

上の前歯が出ていることを主訴に来院された15歳の女性です。上顎の小臼歯を2本抜歯し前歯を後退させ咬み合わせの改善を行いました。前歯が後退したことで、より自然に口が閉じられるようになりました。
治療前の横の咬み合わせの写真を見ると、上と下と同じ番号の歯があたっていて一見良さそうなのですが、実はこの状態はあまり良好とは言えません。歯の形はサイコロのようではなく、大きさも全部違っているので、咬み合わせの理屈に従った前後的位置関係に収まらないと、奥歯は臼のように前歯は鋏のように咬めるようになりません。咬み合わせの理屈に従った前後的位置関係とは、治療後の写真のように1歯対2歯の関係です。上下の歯が1対2の三角形の関係になると隙間なくきちんと排列され、出ていた上の前歯も下の前歯と鋏のように咬めるようになりました。

【 一般的なリスク・副作用 】

歯が動き始める際には痛みや違和感を感じることがあります。数日~1、2週間で慣れることが多いです。
装置の装着により口腔内が汚れやすく、また歯磨きがしにくくなりますので、清潔の保ち、虫歯や歯周病を予防しましょう。
歯の移動の際には歯根吸収や歯肉退縮がおこることがあります。
かみ合わせや歯列の改善のため健康な歯を抜くことがあります。
指示された補助的矯正装置(口腔内ゴム等)の使用が不足した場合、満足する結果が得られないことがあります。
保定装置の使用が不十分な場合、後戻りすることがあります。
 

【 この症例におけるリスク・副作用 】

上顎前歯の移動量が多くなるため、同部の歯根吸収や歯肉退縮が起こる可能性があります。
補助的矯正装置(口腔内ゴム等)の使用が不十分であった場合、治療期間の延長や満足する治療結果が得られない事があります。
動的治療期間 2年1か月 通院回数26回
治療に用いた装置 マルチブラケット装置
抜歯部位 左右上顎第一小臼歯
治療費総額 約90万円(税別)
  治療前
上顎前突-治療前-右側面
上顎前突-治療前-正面
上顎前突-治療前-左側面
上顎前突-治療前-噛み合わせ側面
上顎前突-治療前-横顔
 
矢印
  治療後
上顎前突-治療後-右側面
上顎前突-治療後-正面
上顎前突-治療後-左側面
上顎前突-治療後-噛み合わせ側面
上顎前突-治療後-横顔
 



  下顎前突:下顎歯列が上顎歯列より前方にある。いわゆる受け口。

前歯のかみ合わせが逆であること主訴に来院された14歳の女性です。上下顎の歯列は咬み合わせの理屈に従った前後的位置関係から約小臼歯1本分のずれが見られました。上下顎の小臼歯を計4本抜歯し、そのスペースを利用し前歯の反対および全体の咬み合わせの改善を行いました。反対咬合が改善したことで、横顔もより自然なものになりました。

【 一般的なリスク・副作用 】

歯が動き始める際には痛みや違和感を感じることがあります。数日~1、2週間で慣れることが多いです。
装置の装着により口腔内が汚れやすく、また歯磨きがしにくくなりますので、清潔の保ち、虫歯や歯周病を予防しましょう。
歯の移動の際には歯根吸収や歯肉退縮がおこることがあります。
かみ合わせや歯列の改善のため健康な歯を抜くことがあります。
指示された補助的矯正装置(口腔内ゴム等)の使用が不足した場合、満足する結果が得られないことがあります。
保定装置の使用が不十分な場合、後戻りすることがあります。
 

【 この症例におけるリスク・副作用 】

下顎前歯の移動量が多くなるため、同部の歯肉退縮が起こる可能性があります。
補助的矯正装置(口腔内ゴム等)の使用が不十分であった場合、治療期間の延長や満足する治療結果が得られない事があります。
動的治療期間 2年7か月 通院回数32回
治療に用いた装置 マルチブラケット装置
抜歯部位 左右上下顎第一小臼歯
治療費総額 約93万円(税別)
  治療前
下顎前突-治療前-右側面
下顎前突-治療前-正面
下顎前突-治療前-左側面
下顎前突-治療前-噛み合わせ側面
下顎前突-治療前-横顔
 
矢印
  治療後
下顎前突-治療後-右側面
下顎前突-治療後-正面
下顎前突-治療後-左側面
下顎前突-治療後-噛み合わせ側面
下顎前突-治療後-横顔
 



  上下顎前突:上下顎前歯ともに前方に位置し、口が閉じにくくなっている状態。

口が閉じにくいことを主訴に来院された37歳の女性です。上下の歯列にでこぼこはわずかでしたが、この患者さんの上下顎には歯列全体が前後的に長すぎるため、上下唇とのバランスに不調和が生じ、口を閉じようとすると唇が自然に閉じる位置より前方にある前歯を包み込むため唇はいびつな形になっています。上下顎の小臼歯を計4本抜歯し、前歯の後退と咬み合わせの改善を行いました。前歯が後退し、前歯の位置と唇の閉鎖との不調和が改善したことで、自然な口唇閉鎖が獲得でき横顔も美しく改善しました。

【 一般的なリスク・副作用 】

歯が動き始める際には痛みや違和感を感じることがあります。数日~1、2週間で慣れることが多いです。
装置の装着により口腔内が汚れやすく、また歯磨きがしにくくなりますので、清潔の保ち、虫歯や歯周病を予防しましょう。
歯の移動の際には歯根吸収や歯肉退縮がおこることがあります。
かみ合わせや歯列の改善のため健康な歯を抜くことがあります。
指示された補助的矯正装置(口腔内ゴム等)の使用が不足した場合、満足する結果が得られないことがあります。
保定装置の使用が不十分な場合、後戻りすることがあります。
 

【 この症例におけるリスク・副作用 】

上顎前歯の移動量が多くなるため、同部の歯根吸収や歯肉退縮が起こる可能性があります。
補助的矯正装置(口腔内ゴム等)の使用が不十分であった場合、治療期間の延長や満足する治療結果が得られない事があります。
保定装置の使用が不十分な場合、抜歯部位に空隙が出来ることがあります。
指導を受けた舌のトレーニングが不十分であった場合、満足する治療結果が得られない事があります。
動的治療期間 2年10か月 通院回数35回
治療に用いた装置 マルチブラケット装置
抜歯部位 左右上下顎第一小臼歯
治療費総額 約95万円(税別)
  治療前
上下顎前突-治療前-右側面
上下顎前突-治療前-正面
上下顎前突-治療前-左側面
上下顎前突-治療前-噛み合わせ側面
上下顎前突-治療前-横顔
 
矢印
  治療後
上下顎前突-治療後-右側面
上下顎前突-治療後-正面
上下顎前突-治療後-左側面
上下顎前突-治療後-噛み合わせ側面
上下顎前突-治療後-横顔
 



  上下顎前突:上下顎前歯ともに前方に位置し、口が閉じにくくなっている状態。

口元が出ていることと前歯のでこぼこを主訴に来院された20歳の女性です。でこぼこになるのは、顎の大きさに対して歯が入りきらないことを表し、口元が出ていることは唇が自然に閉じる位置に対して前歯の位置が前すぎることを表しています。上顎は左右の側切歯(2番目の前歯。他の歯と比較し歯の形が悪かったため)を下顎は左右の小臼歯、計4本抜歯し前歯を後退させ口唇との不調和とでこぼこおよび咬み合わせの改善を行いました。口元が後退し非常に美しい横顔になりました。

【 一般的なリスク・副作用 】

歯が動き始める際には痛みや違和感を感じることがあります。数日~1、2週間で慣れることが多いです。
装置の装着により口腔内が汚れやすく、また歯磨きがしにくくなりますので、清潔の保ち、虫歯や歯周病を予防しましょう。
歯の移動の際には歯根吸収や歯肉退縮がおこることがあります。
かみ合わせや歯列の改善のため健康な歯を抜くことがあります。
指示された補助的矯正装置(口腔内ゴム等)の使用が不足した場合、満足する結果が得られないことがあります。
保定装置の使用が不十分な場合、後戻りすることがあります。
 

【 この症例におけるリスク・副作用 】

上顎前歯の移動量が多くなるため、同部の歯根吸収や歯肉退縮が起こる可能性があります。
補助的矯正装置(口腔内ゴム等)の使用が不十分であった場合、治療期間の延長や満足する治療結果が得られない事があります。
保定装置の使用が不十分な場合、抜歯部位に空隙が出来ることがあります。
動的治療期間 2年3か月 通院回数28回
治療に用いた装置 マルチブラケット装置
抜歯部位 左右上顎側切歯、左右下顎第一小臼歯
治療費総額 約95万円(税別)
  治療前
上下顎前突-治療前-右側面
上下顎前突-治療前-正面
上下顎前突-治療前-左側面
上下顎前突-治療前-噛み合わせ側面
上下顎前突-治療前-横顔
 
矢印
  治療後
上下顎前突-治療後-右側面
上下顎前突-治療後-正面
上下顎前突-治療後-左側面
上下顎前突-治療後-噛み合わせ側面
上下顎前突-治療後-横顔
 



  過蓋咬合:前歯の噛み合わせが深い状態。

前歯のでこぼこを主訴に来院された21歳の女性です。でこぼこはもちろんですが、前歯の咬み合わせが下の前歯が見えないほど深いことが問題です。咀嚼運動では顎は上下だけではなく左右にも動きますが、咬み合わせが深いと顎関節に過度に負担がかかることがあります。上下顎の小臼歯を4本抜歯し、前歯のかみ合わせの深さを含めた全体的な咬み合わせの改善と出ている前歯の後退を行いました。前歯の後退により口元が下がりすっきりとした横顔になりました。

【 一般的なリスク・副作用 】

歯が動き始める際には痛みや違和感を感じることがあります。数日~1、2週間で慣れることが多いです。
装置の装着により口腔内が汚れやすく、また歯磨きがしにくくなりますので、清潔の保ち、虫歯や歯周病を予防しましょう。
歯の移動の際には歯根吸収や歯肉退縮がおこることがあります。
かみ合わせや歯列の改善のため健康な歯を抜くことがあります。
指示された補助的矯正装置(口腔内ゴム等)の使用が不足した場合、満足する結果が得られないことがあります。
保定装置の使用が不十分な場合、後戻りすることがあります。
 

【 この症例におけるリスク・副作用 】

上顎前歯の移動様式によっては、同部の歯根吸収が起こる可能性があります。
過蓋咬合は顎関節への負担になることがあるため、治療中に顎関節症を発症する可能性があります。
動的治療期間 2年5か月 通院回数30回
治療に用いた装置 マルチブラケット装置
抜歯部位 左右上下顎第一小臼歯
治療費総額 約101万円(税別)
  治療前
過蓋咬合-治療前-右側面
過蓋咬合-治療前-正面
過蓋咬合-治療前-左側面
過蓋咬合-治療前-噛み合わせ側面
過蓋咬合-治療前-横顔
 
矢印
  治療後
過蓋咬合-治療後-右側面
過蓋咬合-治療後-正面
過蓋咬合-治療後-左側面
過蓋咬合-治療後-噛み合わせ側面
過蓋咬合-治療後-横顔
 



  開咬:噛みしめても、あたらない歯が多くある状態

前歯が開いていることを主訴に来院された24歳の女性です。治療前の写真は咬みしめた状態です。写真では見えない第三大臼歯(おやしらず)が左右で一カ所ずつのみあたっている状態です。自然に口が閉じられ口元の状態は悪くないので、上下顎の第三大臼歯を4本抜歯し咬み合わせの改善を行いました。

【 一般的なリスク・副作用 】

歯が動き始める際には痛みや違和感を感じることがあります。数日~1、2週間で慣れることが多いです。
装置の装着により口腔内が汚れやすく、また歯磨きがしにくくなりますので、清潔の保ち、虫歯や歯周病を予防しましょう。
歯の移動の際には歯根吸収や歯肉退縮がおこることがあります。
かみ合わせや歯列の改善のため健康な歯を抜くことがあります。
指示された補助的矯正装置(口腔内ゴム等)の使用が不足した場合、満足する結果が得られないことがあります。
保定装置の使用が不十分な場合、後戻りすることがあります。
 

【 この症例におけるリスク・副作用 】

上顎前歯の移動様式によっては、同部の歯根吸収や歯肉退縮が起こる可能性があります。
補助的矯正装置(口腔内ゴム等)の使用が不十分であった場合、治療期間の延長や満足する治療結果が得られない事があります。
指導を受けた舌のトレーニングが不十分であった場合、満足する治療結果が得られない事があります。
動的治療期間 1年5か月 通院回数18回
治療に用いた装置 マルチブラケット装置
抜歯部位 左右上下顎第三大臼歯
治療費総額 約90万円(税別)
  治療前
開咬-治療前-右側面
開咬-治療前-正面
開咬-治療前-左側面
開咬-治療前-噛み合わせ側面
開咬-治療前-横顔
 
矢印
  治療後
開咬-治療後-右側面
開咬-治療後-正面
開咬-治療後-左側面
開咬-治療後-噛み合わせ側面
開咬-治療後-横顔
 



  叢生:歯列に連続性がない。でこぼこ。抜歯による治療

前歯のでこぼこを主訴に来院された19歳の女性です。非常に多くのでこぼこがあり前歯の正中(真ん中)は下顎前歯1本分ずれています。これだけ多くのでこぼこがあるとうまく咬み合っていない歯が多く、また正中のずれが多い時は左右の咬み合わせも非対称になっていることが多いのですが、この患者さんも右側に比べて左側の咬み合わせが良くありません。上下顎の小臼歯を4本抜歯し、咬み合わせの改善を行いました。咬み合わせは左右対称となり正中も合っています。

【 一般的なリスク・副作用 】

歯が動き始める際には痛みや違和感を感じることがあります。数日~1、2週間で慣れることが多いです。
装置の装着により口腔内が汚れやすく、また歯磨きがしにくくなりますので、清潔の保ち、虫歯や歯周病を予防しましょう。
歯の移動の際には歯根吸収や歯肉退縮がおこることがあります。
かみ合わせや歯列の改善のため健康な歯を抜くことがあります。
指示された補助的矯正装置(口腔内ゴム等)の使用が不足した場合、満足する結果が得られないことがあります。
保定装置の使用が不十分な場合、後戻りすることがあります。
 

【 この症例におけるリスク・副作用 】

叢生が見られる部位(主に前歯部)に汚れが付きやすく、また清掃がしにくいため、充分な虫歯や歯周病予防が必要になります。
保定装置の使用が不十分な場合後戻りすることがあります。
動的治療期間 1年9か月 通院回数22回
治療に用いた装置 マルチブラケット装置
抜歯部位 左右上下顎第一小臼歯
治療費総額 約92万円(税別)
  治療前
叢生-治療前-右側面
叢生-治療前-正面
叢生-治療前-左側面
叢生-治療前-噛み合わせ側面
叢生-治療前-横顔
 
矢印
  治療後
叢生-治療後-右側面
叢生-治療後-正面
叢生-治療後-左側面
叢生-治療後-噛み合わせ側面
叢生-治療後-横顔
 



  叢生:歯列に連続性がない。でこぼこ。非抜歯による治療

前歯のでこぼこを主訴に来院された12歳の女性です。横顔のバランスは悪くなく前歯と口唇のバランスを変える必要はないため、でこぼこの度合いから非抜歯で治療を行いました。

【 一般的なリスク・副作用 】

歯が動き始める際には痛みや違和感を感じることがあります。数日~1、2週間で慣れることが多いです。
装置の装着により口腔内が汚れやすく、また歯磨きがしにくくなりますので、清潔の保ち、虫歯や歯周病を予防しましょう。
歯の移動の際には歯根吸収や歯肉退縮がおこることがあります。
かみ合わせや歯列の改善のため健康な歯を抜くことがあります。
指示された補助的矯正装置(口腔内ゴム等)の使用が不足した場合、満足する結果が得られないことがあります。
保定装置の使用が不十分な場合、後戻りすることがあります。
   
 

【 この症例におけるリスク・副作用 】

叢生が見られる部位(主に前歯部)に汚れが付きやすく、また清掃がしにくいため、充分な虫歯や歯周病予防が必要になります。
保定装置の使用が不十分な場合後戻りすることがあります。
動的治療期間 2年0か月 通院回数25回
治療に用いた装置 マルチブラケット装置
抜歯部位 非抜歯
治療費総額 約90万円(税別)
  治療前
叢生-治療前-右側面
叢生-治療前-正面
叢生-治療前-左側面
叢生-治療前-噛み合わせ側面
叢生-治療前-横顔
 
矢印
  治療後
叢生-治療後-右側面
叢生-治療後-正面
叢生-治療後-左側面
叢生-治療後-噛み合わせ側面
叢生-治療後-横顔
 

診療日カレンダー

Calendar Loading
Calendar Loading

診療時間:AM10:00~PM1:00 PM2:30~PM7:00

一般社団法人日本歯科矯正専門医学会
与五沢矯正研究会